Diagnosis of Stroke

To determine the type and severity of stroke, the following tests are commonly used
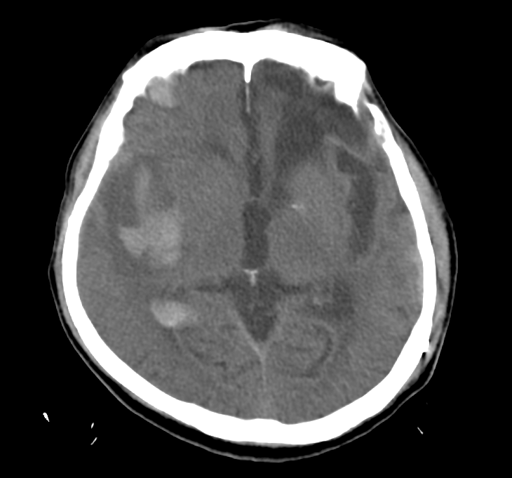
- CT: to quickly check for bleeding in the brain
- MRI: to get more detailed images and identify small or early strokes
- MRA: to check for blockage or abnormalities in the brain vessel
- Carotid ultrasound: to check for narrowing in the neck arteries
- Transcranial doppler: to assess blood flow in the brain
- Electrocardiogram(ECG): to detect irregular heartbeat
- Echocardiogram: to examine heart structure and function
- Blood tests: to assess blood sugar, cholesterol, clotting etc.