Diagnosis of Biliary Atresia

Accurate diagnosis involves a combination of clinical signs, lab tests, and imaging:
- Blood tests: Elevated direct (conjugated) bilirubin, Elevated liver enzymes (ALT, AST, GGT)
- Abdominal ultrasound: To assess gallbladder and bile ducts
- Hepatobiliary scintigraphy: To check bile flow from liver to intestine
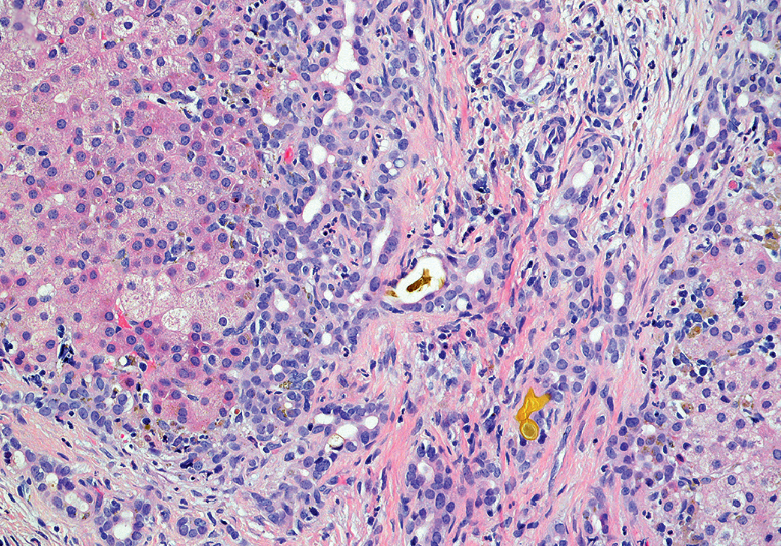
- Liver biopsy: Shows bile duct proliferation and fibrosis
- Intraoperative cholangiography: Confirms biliary obstruction during surgery
Stages of Biliary Atresia
Biliary atresia progression can be described in phases:
- Early stage: Obstruction begins; jaundice and pale stool appear
- Fibrotic stage: Bile accumulates, liver inflammation worsens
- Cirrhotic stage: Irreversible scarring, portal hypertension, liver failure
Early surgery can delay or prevent progression to cirrhosis.